1
|
P a g e
Fifth stage
Radiology
Lec-2
د.محمد
7/11/2016
Chest imaging -2
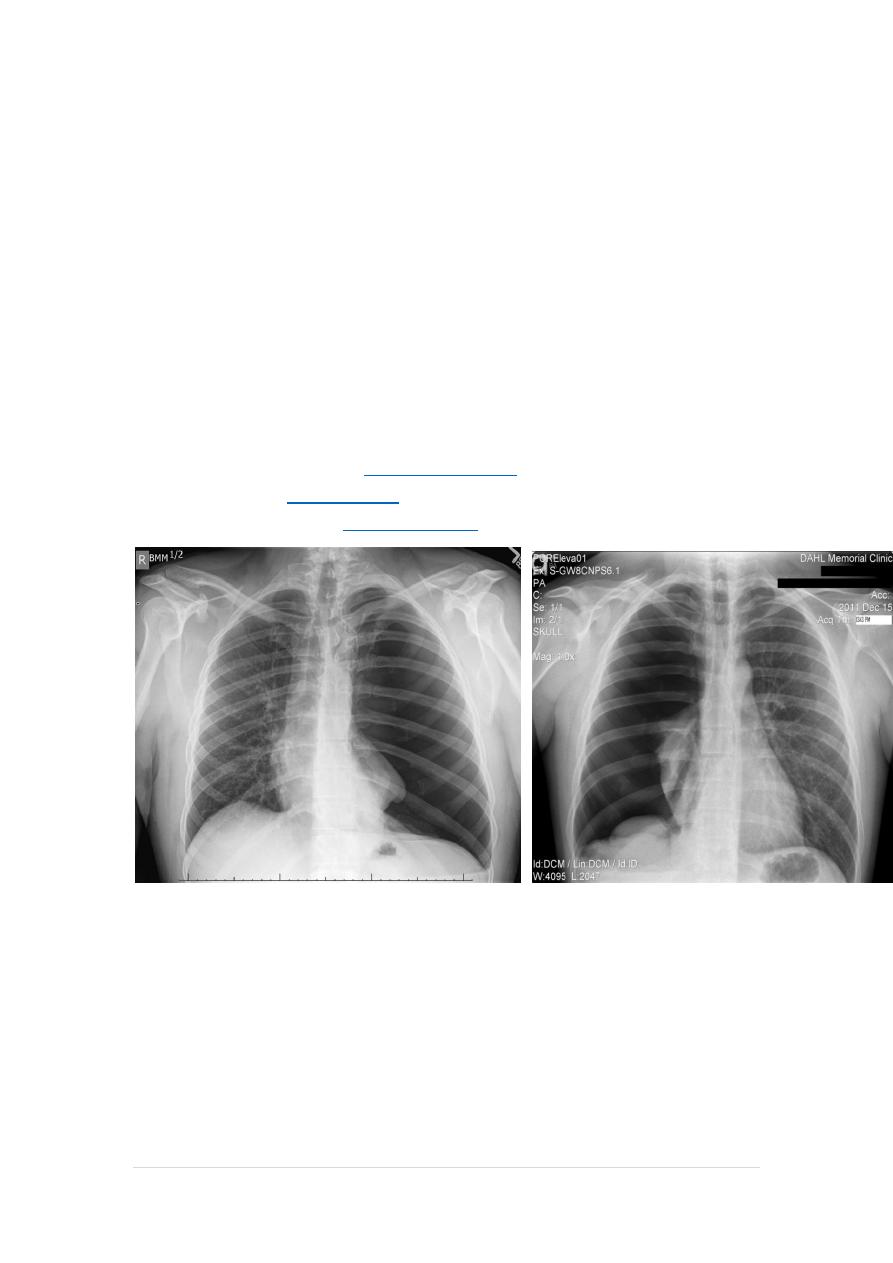
Pleural effusion
Pleural effusion tends to be used as a catch-all term denoting a
collection of fluid within the
. This can be further divided
into exudates and transudates depending on the biochemical analysis of
aspirated pleural fluid. Essentially it represents any pathological process
which overwhelms the pleura's ability to reabsorb fluid.
Radiographic appearances
Plain radiograph
Chest radiographs are the most commonly used examination to assess
for presence of a pleural effusion, however it should be noted that on a
routine erect chest x-ray as much as 250-600 ml of fluid is required
before it becomes evident
6
. A lateral decubitus film is most sensitive,
able to identify even a small amount of fluid. At the other extreme,
supine films can mask large quantities of fluid.
CXR (lateral decubitus)
A lateral decubitus film (obtained with the patient lying on their side,
effusion side down, with a cross table shoot through technique) can
visualise small amounts of fluid layering against the dependent parietal
pleura.
CXR (erect)
Both PA and AP erect films are insensitive to small amounts of fluid.
Features include:
blunting of the costophrenic angle
blunting of the cardiophrenic angle
fluid within the horizontal or oblique fissures
2
|
P a g e
eventually a meniscus will be seen, on frontal films seen laterally and
gently sloping medially
3
|
P a g e
A subpulmonic effusion (infrapulmonary effusion) may be seen when
there is previously established pulmonary disease, but can also be
encountered in normal lungs , They are more common on the right, and
usually unilateral
4
|
P a g e
with large volume effusions, mediastinal shift occurs away from the
effusion (note: if coexistent collapse dominates then mediastinal shift
may occur towards the effusion)
5
|
P a g e
and can mimic a peripheral pulmonary abscess, although a number of
features usually enable distinction between the two Features that help
distinguish a pleural effusion from an empyema include:
Shape and location
Empyemas usually:
form an obtuse angle with the chest wall
unilateral or markedly asymmetric whereas pleural effusions are (if of
any significant size) usually bilateral and similar in size .
lenticular in shape (bi-convex), whereas pleural effusions are crescentic
in shape (i.e concave towards the lung)
Empyema
6
|
P a g e
Pneumothorax
Pneumothorax refers to the presence of gas (air) in the
When this collection of gas is constantly enlarging with resulting
compression of mediastinal structures it can be life-threatening and is
known as a
It is useful to divide pneumo thoraces into three categories :
primary spontaneous: no underlying lung disease marfan syndrum ,
Elher danus syndrome
alpha-1 antitrypsin deficiency
secondary spontaneous: underlying lung disease is present
iatrogenic/traumatic
Radiographic features
Chest radiograph
1. A pneumothorax is, when looked for, usually relatively easily
appreciated. Typically they demonstrate:
2. visible visceral pleural edge see as a very thin, sharp white line
3. no lung markings are seen peripheral to this line
4. the peripheral space is radiolucent compared to adjacent lung
5. the lung may completely collapse
6. the mediastinum should not shift away from the pneumothorax
7
|
P a g e
A tension pneumothorax
A tension pneumothorax occurs when intrapleural air accumulates
progressively in such a way as to exert positive pressure on mediastinal
and intrathoracic structures. It is a life threatening occurrence requiring
rapid recognition and treatment is required if cardiorespiratory arrest is
to be avoided.
Radiographic features
1. A pneumothorax will have the same features as a run-of-the-mill
pneumothorax with a number of additional features, helpful in
identifying tension. These additional signs indicate over expansion
of the hemithorax:
8
|
P a g e
Hydro pnuemothorax
Hydropneumothorax is a term given to the concurrent presence of
a
(i.e. air and fluid) in the pleural
space.
Plain radiographs
On an erect chest radiograph, recognition of hydropneumothorax can be
rather easy - and is clasically shown as an air-fluid level. On the supine
radiograph, this may be more challenging where a sharp pleural line is
bordered by increased opacity lateral to it within the pleural space may
sometimes suggest towards the diagnosis
Hydropnemothorax
9
|
P a g e
Subcutaneous Emphysema
Subcutaneous emphysema, strictly speaking, refers to air in the
subcutaneous tissues. But the term is generally used to describe any soft
tissue emphysema of the body wall or limbs, since the air often dissects
into the deeper soft tissue and musculature along fascial planes .
Radiographic appearance
Plain film
If affecting the anterior chest wall, subcutaneous emphysema can
outline the
, giving rise to the
dissecting air along tissue fat planes appears as multiple lines of
lucency.
11
|
P a g e
Pneumomediastinum is the presence of extraluminal gas within
the
. Gas may originate from the
, and track from the mediastinum to
Radiographic features
1. Small amounts of air appear as linear or curvilinear lucencies
outlining mediastinal contours such as:
2. subcutaneous emphysema
3. air anterior to pericardium:
4. air around pulmonary artery and main branches:
5. air outlining major aortic branches:
6. air outlining bronchial wall:
7. continuous diaphragm sign: due to air trapped posterior
11
|
P a g e
12
|
P a g e
Chronic obstructive pulmonary disease (COPD):
represents a spectrum of obstructive airway diseases. It includes two
key components which are
Chronic bronchitis (CB):
Chronic bronchitis (CB) is often defined as the presence of productive
cough for 3 months in two successive years in a patient in whom other
causes of chronic cough, such as tuberculosis, lung cancer and heart
failure, have been excluded . It can be an important pathological
compotent of
chronic obstructive pulmonary disease
as a distinct phenotype of COPD)
findings of chronic bronchitis on chest radiography
are nonspecific and include 1.increased
other added radiological signs
* direct signs
3.thickened peripheral airways
- may only be seen in the proximal
portion
*indirect signs - many of these features may be non specific on their
own
3.Dirty lung appearance
13
|
P a g e
Pulmonary emphysema
Pulmonary emphysema is defined as the "abnormal permanent
enlargement of the airspaces distal to the terminal bronchioles
accompanied by destruction of the alveolar wall and without obvious
fibrosis". Emphysema is one of the entities grouped together as
14
|
P a g e
Radiographic features
Plain film
Except in the case of very advanced disease with bulla formation, chest
radiography does not image emphysema directly, but rather infers the
diagnosis due to associated features
:
hyperinflation:
: most reliable sign
2.ncreased and usually irregular radiolucency of the lungs
3.increased retrosternal airspace
4.increased antero-posterior diameter of chest
5.widely spaced ribs
6.sternal bowing
7.tenting of the diaphragm
9.vascular changes paucity of blood vessels ( absent pulmonary
markings in outer 1/3 of the lung fields )
10 .pulmonary arterial hypertension
pruning of peripheral vessels
increased calibre of central arteries
right ventricular enlargement
15
|
P a g e
Unilateral obstructive emphysema
unilateral emphysema or atelectasis are the most common findings; only
uncommonly will a radio-opaque foreign body be demonstrated ,
Aspirated foreign bodies have a predominance for the right tracheo
bronchial tree.
16
|
P a g e
Pulmonary bullae are focal regions of emphysema with no discenible
wall which measure more than 1cm in diameter
Bronchiactasis
Bronchiectasis refers to abnormal dilatation of the
seen in a variety of clinical settings. CT is the most accurate modality for
diagnosis. It is largely considered irreversible
17
|
P a g e
Causes of bronchiactasias very important to consider
post-infective (most common)
necrotising bacterial pneumonia, e.g Staph. aureus, Klebsiella, B.
pertussis
allergic bronchopulmonary aspergillosis (ABPA)
congenital
congenital cystic bronchiectasis
ciliary dysfunction syndromes, e.g.
bronchial obstruction
chronic aspiration lung changes
18
|
P a g e
Plain radiograph
Chest x-rays are usually abnormal
are seen in cylindrical bronchiectasis, and
may be seen in cystic bronchiectasis.
Honey comb shadow
3.Overall there appears to be an increase in bronchovascular markings,
and bronchi seen end on may appear as ring shadows .
4.Pulmonary vasculature appears ill-defined, thought to represent peri
bronchovascular fibrosis .
19
|
P a g e
21
|
P a g e
TB of the lung
Tuberculosis encompasses an enormously wide disease spectrum
affecting multiple organs and body systems predominantly caused by
the organism
Pulmonary manifestations of tuberculosis are varied and depend in part
whether the infection is primary or post-primary. The lungs are the most
common site of primary infection by
spread of the disease .
Have 2 categories
Primary
Post primary TB
Primary pulmonary TB
Radiographic features
primary pulmonary tuberculosis
1.the initial focus of infection can be located anywhere within the lung
and has non-specific appearances ranging from too small to be
detectable, to patchy areas or consolidation or even lobar consolidation
in RT upper or RT middle lobe . Radiographic evidence of parenchymal
infection is seen in 70% of children and 90% of adults called Ghon lesion
, +/- ipsilateral hilar or paratracheal Lymph adenopathy usually right
sided
( Ghon focus + LAP ) called primary complex.
2.Later In most cases, the infection becomes localized and a caseating
granuloma resolve eventually calcifies with or without calcification of
the regional LN , Calcification of nodes is seen in 35% of cases . When a
calcified node and a calcified Ghon lesion are present, the combination is
known as a Ranke complex.
3. Pleural effusions are more frequent in adults .
21
|
P a g e
Post primary TB radiographic appearance
Post-primary pulmonary tuberculosis, also known as reactivation
tuberculosis or secondary tuberculosis occurs years later, frequently in
the setting of a decreased immune status. In the majority of cases, post-
primary TB within the lungs develops in either :
* posterior segments of the upper lobes
*superior segments of the lower lobes
Typical appearance of post-primary TB
1.patchy consolidation or poorly defined linear and nodular opacities in
both apices , upper zone in one lung , & lower zone in other lung (
ulternating lesion ) .
2. Post-primary infections are far more likely to cavitate with multiple
abscess formation & air fluid level more develop in the posterior
segments of the upper lobes.
3. Tuberculomas seen in post-primary TB and appear as a well defined
rounded mass typically located in the upper lobes .
4. Miliary tuberculosis is uncommon but carries a poor prognosis. It
represents haematogenous dissemination of an uncontrolled
tuberculous infection. It is seen both in primary and post-primary
tuberculosis. Although implants are seen throughout the body, the lungs
are usually the easiest location to the image. Miliary deposits appear as
1-3 mm diameter nodules . are uniform in size and uniformly distributed
22
|
P a g e
TB abscess
23
|
P a g e
Complications
Recognized complications include:
1.colonisation of cavities by fungus, e.g. aspergilloma
3.arterial pseudoaneurysms
bronchial artery pseudo aneurysm
pulmonary artery pseudo aneurysm / Rasmussen aneurysm
Aspergiloma
https://www.muhadharaty.com/lecture/13881
