DENTAL ANOMALIES
Dental anomalies include variations in normal number, size, eruption, or morphology of the teeth.*Developmental abnormalities: occurred during theformation of the tooth or teeth. Most of the defects considered are inherited.
*Acquired abnormalities: result from changes toteeth after normal formation.
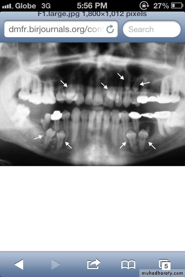
Supernumerary.
Missing.Impaction.
Number and Eruption
Developmental abnormalities
• These are extra teeth that appear in addition to the regular number of teeth.
• Also called supplemental teeth: When they have normal morphology.
• Mesiodens :When they occur between the maxillary central incisors.
Parateeth(paramolar): Those occurring in the molar area .
Distodens or distomolar : Those that erupt distal to the third
molar.
Peridens supernumerary teeth: That erupt ectopically either
buccally or lingually to the normal arch .
• Common region of the jaws to be affected is the premaxilla.
Supernumerary teeth:
Paramolar blocking the eruption of 3rd molar.
MesiodensDistomolars(4th molar)
Mesiodens
Mesiodens
Distodens or distomolarParamolar
Supplemental
CAUSE: Is unknown, the tendency is familial. Most cases are polygenetic and represent initial spontaneous gene mutations. When the anomaly is re-stricted to supernumerary teeth, it is inherited as an autosomal recessive trait.
Many supernumerary teeth never erupt, but they may delay eruption of nearby teeth or cause other dental problems.
The TREATMENT is depend on:
Their potential effect on the developing normal dentition.
Their position and number, and the complications that may result from surgical intervention.
If they erupt, they can cause malalignment of the normal dentition.
They may cause root resorption or interfere with the normal eruption sequence.
Follicles of unerupted supernumerary teeth occasionally develop
into dentigerous cysts.
Supernumerary teeth characteristically found in cleidocranial dysostosis .
Missing teeth:
The expression of developmentally missingteeth may range from:
Hypodontia :the absence of one or a few teeth.
Oligodontia : the absence of numerous teeth .
Anodontia : the failure of all teeth to develop .
Pseudoanodontia: when teeth are absent
clinically because of impaction or delayed eruption.
False Anodontia: when teeth have been
exfoliated or extracted.
*Anodontia or hypodontia associated with
systemic disease e.g. Down's syndrome,ectodermal dysplasia.
Hypodontia
Oligodontia
Anadontia
Developmental absence of all maxillary premolars and both mandibular second premolars. Note the retention of the maxillary primary canine as a result of the posterior position of the maxillary permanent canine.
CAUSES: may be the result of numerous independent pathologic mechanisms that can affect the orderly formation of the dental lamina (e.g.,orofaciodigital syndrome), failure of a tooth germ to develop at the optimal time, lack of necessary space imposed by a malformed jaw, and a genetically determined disproportion between tooth mass and jaw size.
MANAGEMENT: Missing teeth, abnormal occlusion, or altered facial appearance may cause patients psychologic
distress.
*Mild hypodontia by orthodontics.
*Severe cases by restorative,implant, and prosthetic procedures .
Impaction:
most often affects the mandibular 3rd molars &maxillary canines.
less commonly:
premolars
mandibular canines
second molars
CAUSES: due to obstruction from crowding.
occasionally, may be due to an abnormal eruption
path, presumably because of unusual orientation of
tooth germ.
Microdontia.
Macrodontia.Size
Microdontia:
(1) True Generalized Microdontia.
(2) Relative Generalized Microdontia.(3) Focal or Localized Microdontia.
All teeth are smaller than
normal.Occur in some cases of
pituitary dawrfism.
Exceedingly rare.
Teeth are well formed.
(1) True Generalized Microdontia
Normal or slightly smaller than normal teeth.
Are present in jaws that are somewhat larger than normal.(2) Relative Generalized Microdontia
(3) Focal/Localized MicrodontiaCommon condition.
Affects most often maxillary
lateral incisior + 3rd molar.
These 2 teeth are most often
congenitally missing.
sides converge or taper
together incisallyforms cone-shaped crown
root is frequently shorter
than usual.
(3) Focal/Localized Microdontia
Macrodontia: the teeth are larger than normal, or the teeth are of normal size but occur in smaller than normal jaws.
(1) True Generalized Macrodontia
(2) Relative Generalized Macrodontia
(3) Focal or Localized Macrodontia
all teeth are larger than normal.
associated with pituitary giantism.exceedingly rare.
(1) True Generalized Macrodontia:
Normal or slightly larger than normal teeth in small jaws results in:
crowding of teethmalocclusion
impaction may occur.
(2) Relative Generalized Macrodontia
(3) Focal/Localized Macrodontiauncommon condition.
unknown etiology.
ERUPTION OF TEETH
Transposition:Transposition is the condition in which two teeth have exchanged positions.
Frequently transposed teeth are the permanent canine and first premolar.
Second premolars infrequently lie between first and second molars.
The transposition of central and lateral incisors is rare.
ALTERED MORPHOLOGY OF TEETH
Fusion:Fusion of teeth results from the combining of adjacent tooth germs,
resulting in union of the developing teeth.
OR fusion results when two tooth germs develop so close together
that as they grow, they contact and fuse before calcification.
OR a physical force or pressure generated during development
causes contact of adjacent tooth buds.
Appears as a single large tooth structure which may involve entire length of teeth, or may involve roots only, where the cementum &dentin are shared.
MANAGEMENT: It depends on which teeth are involved, the degree of fusion,and the morphologic result
*they may be retained as they are in deciduous teeth.
*In permenant teeth, the fused crowns may be reshaped with a restoration that mimics two independent crowns.
*Endodontic therapy may be necessary and perhaps may
be difficult or impossible if the root canals are of unusual
shape.
*In some cases it is most prudent to leave the teeth as they are.
Concrescence
*It occurs when the roots of two or more teeth are
united by cementum.*It may involve either primary or secondary teeth.
CAUSES: is unknown, space restriction during
development, local trauma, excessive occlusal force,
or local infection after development.
* Maxillary molars are most frequently involved,
especially 3rd molar and a supernumerary tooth.
*Involved teeth may fail to erupt or may
erupt incompletely.
Often requires no treatment unless
union interferes with eruption;
then surgical removal may be warranted.
Concrescence of 7&8
Gemination (twining):
*Gemination is a rare anomaly that arises when the tooth bud of a single tooth attempts to divide.
The result may be an invagination of the crown, with
partial division, or in rare cases complete division
throughout the crown and root, producing identical
structures. Complete twinning results in a normal tooth
plus a supernumerary tooth in the arch.
CAUSE: is unknown, or it may be familial.
*The patient has a larger tooth but a normal number of teeth overall, in contrast to fusion, where the patient would appear to be missing one tooth.
MANAGEMENT : Affected teeth can cause malocclusion and lead to periodontal disease.
the affected tooth may be removed (if it is deciduous).the crown(s) may be restored or reshaped.
OR the tooth may be left untreated and periodically examined to preclude the development of complications.
• Fusion of the left mandibular central and lateral incisors (twoindividual roots, two root canals and two joined crowns).
Gemination of right mandibular central incisor has one root, one root canal and a partially bifid dental crown.
*Taurodont teeth have longitudinally enlarged pulp chambers.
*The crown is of normal shape and size, but the body is elongated and the roots are short.*The pulp chamber extends from a normal position in the crown throughout the length of the extended body, leading to an increased distance between the CEJ and the furcation.
Taurodontism
It may be associated with : Oral-facial-digital Syndrome.
Amelogenesis Imperfecta-Type IV,Down Syndrome.No treatment is required.
Dilaceration
*Dilaceration is a disturbance in tooth formation that produces a sharp bend or curve in the tooth (root or crown).
*CAUSES: trauma to the calcified portion of a partially formed tooth, or due to true developmental anomaly.
*Treatment:
No treatment. However, teeth with dilacerated roots
make extractions more complex.
Dilaceration of the crown
specimenX-Ray
Dilacerated root. The apical portion of the root is bent buccally or lingually into the plane of the central ray. Note the halo in the apical region, produced by the PDL
space (arrow).
Dens in Dente (invaginated odontome) :
*It is an infolding of the outer surface of a tooth into the interior usually in the cingulum pit region of maxillary lateral incisors (tooth within a tooth).
*It is of 2 forms:coronal& radicular.
*Clinicaly varies from slight enlargement of cingulum
to a deep infolding that extends to the apex.
It has been classified into 3 major types:
*Type I:it is confined within the crown of the tooth and does not extend beyond the level of the external CEJ. *Type II :extends below CEJ ends in a blind sac, may or may not communicate with adjacent dental pulp. *Type III:extends through the root and communicates laterally with the periodontal ligament space through a pseudo-foramen or at the apical foramen . There is usually no communication with the pulp, which lies compressed within the root.*Most cases of dens in dente are discovered radiographically. It is more radiopaque than the surrounding tooth structure and can easily be identified.
*In contrast to the dens in dente, Dens Evaginatus is the result of an outfolding of the enamel organ, involving an extra cusp or tubercle that protrudes from the tooth.
*Premolars are more likely to be affected than any other tooth.
*Located on occlusal surface between buccal & lingual cusps of premolars.It may be unilateral or bilateral.
*CAUSE:is unknown, but is thought to be a result of genetics or a disruption of the tooth during formation.
*TREATMENT:This condition requires monitoring as the tooth can lose its blood and nerve supply as a result,and may need root canal treatment.
Dens Evaginatus ( Leong's premolar)
Amelogenesis Imperfecta
*It is a developmental disturbance that interferes with normal enamel formation.*It leads to marked changes in the enamel of all or nearly all the teeth in both dentitions.
*Most forms are autosomal dominant or recessive.
*Affects both dentition.
Enamel is composed mostly of mineral that is formed and regulated by the proteins in it. Amelogenesis Imperfecta is due to the malfunction of the proteins in the enamel.
Amelogenesis Imperfecta
* Classified based on pattern of inheritance:hypoplasia.
hypomaturation.
hypocalcified.
* No treatment except for improvement of cosmetic
appearance.
Hypoplastic Amelogenesis Imperfecta:
* Due to some defect in ameloblasts enamel fails to develop to its normal thickness dentin exposed the tooth shows yellowish-brown color.*Enamel is randomly:
pitted .
rough OR smooth &glossy.
*The occlusal surfaces of the posterior teeth are relatively
flat with low cusps due to attrition of cusp tips that were initially low and not fully formed. An anterior open bite may be noted. defects become stained but teeth are not especially susceptible to caries unless enamel is scanty and easily damaged.
Generalized hypoplastic type
Amelogenesis ImperfectaAffects primary &permenant dentition
Severe mottling of the enamel surface.
Hypomaturation Amelogenesis Imperfecta:
*Enamel is normal in form on eruption but:
opaque.white to brownish-yellow.
softer than normal.
tends to chip from underlying dentin.
Radiographically:
Affected enamel exhibits radiodensity similar to dentin.
Hypocalcified Amelogenesis Imperfecta:
*Enamel matrix is formed in normal quantity,poorly calcified.
When newly erupted:Enamel is normal in thickness, normal form, but weak , and opaque or chalky in appearance.
With years of function:
Coronal enamel is removed except for cervical portion that is occasionally calcified better.
Radiographically:
Density of enamel & dentin are similar.
Dentinogenesis is the formation of dentin by odontoblast cells, which starts before amelogenesis. It takes place in two phases:
• formation of organic collagen matrix
• deposition of hydroxyapetite crystals.
• Dentinogenesis Imperfecta: Is an inherited disorder of dentin formation due to autosomal dominant disturbance.
Affects both primary&permanent dentition.
Blue to brown discoloration with distinctive translucence.
Enamel frequently separates easily from underlying defective dentin.
Dentinogenesis Imperfecta(Hereditary Opalascent Dentin)
Radiographically:
Bulbous crownsCervical constriction
Thin roots
Early obliteration of roots canals & pulp chambers.
Treatment:
Prevent loss of enamel& subsequent loss of dentin
through attrition.
Cast metal crowns for posterior & jacket crowns for anterior teeth
Classification:
Type I:occurs in families with Osteogenesis Imperfecta.* primary teeth are more severely affected than permanent teeth.
Type II: never occurs in association with osteogenesis imperfecta,only have dentin abnormalities without bone disease.
Radiographically (Type I& II ):
partial or total obliteration of pulp chambers & root canals by continued formation of dentin.
roots may be short & blunted.
Normal cementum, periodontal membrane & bone .
Type 2large pulp chambers with thin shell of dentin and enamel “shell teeth”
Type III (Brandywine type ): Rare condition, seen in racial isolate of Maryland.
exhibits multiple pulp exposures and periapical lesions in deciduous dentition.
Also known as “Rootless Teeth”. It is a hereditary disease.
Rare disturbance of dentin formation.normal enamel.
Atypical dentin formation
abnormal pulp morphology.
Classification:
Type I (Radicular Type).
Type II (Coronal Type).
Dentin Dysplasia
Both dentitions are of normal color.
Periapical lesions.Premature tooth loss may occur because of short roots or periapical inflammatory lesions.
Radiographically:
Roots are extremely short.
Pulps almost completely obliterated.
Periapical radiolucencies:
granulomas
cysts
chronic abscesses
Type I (Radicular Type)
Dentin dysplasia, type I. panoramic & periapical films of the same case show the short and poorly developed roots, obliterated pulp chambers and root canals, and periapical inflammatory lesions.
Color of primary dentition is opalescent
Permanent dentition is normal.Coronal pulps are usually large
filled with globules of abnormal dentin.
Radiographically:
Deciduous teeth:
roots are extremely short
pulps almost completely obliterated
Permanent teeth:
abnormally large pulp chambers in coronal portion of tooth.
Type II (Coronal Type)
Dentin dysplasia, type II. panoramic &periapical films of the same case show obliteration of the pulp chamber, reduction in the caliber of root canals, and pulp stones obscuring the flame-shaped pulp chambers.
Periapical inflammatory lesions are associated with some of the mandibular anterior teeth.
Usually localized to a certain area and nonhereditary.
The enamel, dentin, and pulp of teeth are affected, and on radiographs the teeth are described as "ghost teeth".Unknown etiology.
It most commonly affects the maxillary anterior teeth of both the permanent and primary dentitions.
Teeth affected may exhibit a delay or total failure in eruption.
Treatment:Most dentists will advocate extracting the affected teeth as soon as possible and inserting a prosthetic replacement.
Regional Odontodysplasia(ghost teeth)
It is a small globule of enamel 1 - 3 mm in diameter
that occurs on the roots of molars (bifurcation ortrifurcation).
It consists of only a nodule of enamel attached to
dentin.
It may have a core of dentin containing pulp horn.
It may cause food stagnation at gingival margin that may predispose to periodontal pocket formation and subsequent
periodontal disease.
if enamel pearl contains pulp, this will be
exposed when pearl is removed.
may be detected on radiographic examination.
Enamel Pearl
well-delineated additional
cusp, located on the surface ofan anterior tooth.
extends at least half the distance from CEJ to incisal edge
Talon Cusp
Congenital Syphilis
Congenital syphilis develop dental hypoplasia that involves the permanent incisors (Hutchinson's teeth )
and first molars (mulberry molars).
.
* Hutchinson’s Incisor
lateral incisors are peg-shaped or screwdriver-shaped.
widely spaced.
notched at the incisal edge.
with a crescent-shaped deformity
Characterized by multiple rounded rudimentary enamel cusps on permanent 1st molars.
dwarfed molars with cusps covered with globular enamel growths giving the appearance of a mulberry.* Mulberry Molar
Acquired Abnormalities
That are initiated after development of the tooth, range from changes that have no clinical significance to those that cause tooth loss.ATTRITION
is the physiologic wearing away of the dentition resulting from occlusal contacts between upper &lower teeth.
Its extent depends on the abrasiveness of the diet, salivary factors, mineralization of the teeth, and emotional tension, aging process.
When the loss of dental tissue becomes excessive (bruxism), the attrition becomes pathologic.
Radiographically :
*Change in the normal outline of the tooth structure. *Altering the normal curved surfaces into flat planes.*Shortened crown.
*Complete obliteration of the pulp chamber and canals due to deposition of secondary dentin.
*Simultaneous widening of the PDL space
frequently occurs if the tooth is mobile.
Occasionally evidence of hypercementosis is
present.
ABRASION:
Is a non physiologic wearing away of teeth by contact with foreign substances.
Causes:improper tooth brushing and dental floss,pipe smoking, opening hairpins with the teeth,improper use of toothpicks, and cutting thread with the teeth.
Dental floss abrasion. Note the obliteration of the pulp chambers and reduction in size of the root canals.
EROSION:
Results from a chemical action not involving bacteria.It is usually found on incisors,often involving multiple teeth. The lesions are generally smooth, glistening depressions in the enamel surface, frequently near the gingiva.
RESORPTION
Is the removal of tooth structure by osteoclasts, referred to as odontoclasts when they are resorbing tooth structure.External resorption affects the outer tooth surface.
Internal resorption affects the inner surface of the pulp chamber and canal.
INTERNAL RESORPTION: initiated by acute trauma to the tooth, direct and indirect pulp capping, pulpotomy, and enamel invagination.
*Radiographically :The lesions are radiolucent and round, oval, or elongated within the root or crown and continuous with the pulp chamber or canal.
EXTERNAL RESORPTION:
*This most commonly involves the root surface but may also involve the crown of an unerupted tooth.*The etiology is unknown, or it may be due to localized inflammatory lesions, reimplanted teeth, tumors and cysts, excessive mechanical (orthodontic) and occlusal forces, and impacted teeth.
Radiographically:
*blunting of the root apex.
*The bone and lamina dura follow the resorbing root and present a normal appearance around it.
*When external root resorption occurs as the result of a periapical inflammatory lesion, the lamina dura is lost around the apex.
:PULP STONES
*Pulp stones are foci of calcification in the dental pulp.*Un known etiology.
*Radiographiclly: radiopaque structures within pulp chambers or root canals or extending from the pulp chamber into the root
canals.
*TREATEMENT:do not require treatment.
Is a diffuse process of pulpal calcification.
Early pulpal sclerosis, a degenerative process, is not radiographically demonstrable.Diffuse pulpal sclerosis produces a generalized, illdefined
collection of fine radiopacities throughout large areas of the pulp chamber and pulp canals.
PULPAL SCLEROSIS















































































































